Whatsapp

Çapraşık Dişler Nasıl Düzelir? Modern Ortodontik Tedavi Yöntemleri

Çapraşık Dişler Nasıl Düzelir? Modern Ortodontik Tedavi Yöntemleri

Çapraşık dişler genetik, kötü alışkanlıklar veya erken süt dişi kaybı gibi nedenlerle oluşur. Sadece estetik değil, ağız sağlığı için de düzeltilmeli. Metal, seramik, lingual braketler ve şeffaf plaklar gibi modern yöntemlerle tedavi mümkündür. Süreç muayene, tedavi ve pekiştirme adımlarından oluşur. Yetişkinler de bu tedavilerden faydalanabilir.

Çapraşık Dişler Nasıl Düzelir? Modern Ortodontik Tedavi Yöntemleri

Çapraşık Dişler Nasıl Düzelir? Modern Ortodontik Tedavi Yöntemleri

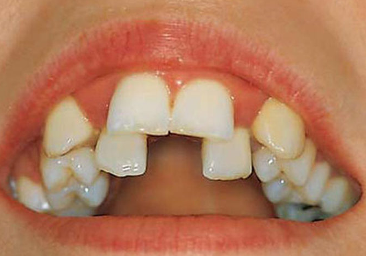
Gülümsemenizi aynada gördüğünüzde veya fotoğraflarda kendinizi fark ettiğinizde aklınızdan geçen ilk şey dişlerinizin dizilimi mi oluyor? Yalnız değilsiniz. Çapraşık dişler, pek çok kişinin estetik kaygılarının ve özgüven eksikliğinin temel nedenidir. Ancak bu durum, sadece bir estetik sorun değil, aynı zamanda ağız sağlığınızı da etkileyen önemli bir konudur. Neyse ki, modern ortodonti sayesinde bu sorunu geride bırakmak ve hayalinizdeki inci gibi sıralanmış dişlere kavuşmak artık eskisinden çok daha kolay ve konforlu.


Çapraşık Dişlerin Nedenleri Nelerdir?

Dişlerdeki çapraşıklığın altında yatan tek bir neden yoktur. Genellikle birden fazla faktörün bir araya gelmesiyle oluşur. Bu durumu anlamak, doğru tedaviye giden yolda ilk adımdır.

  • Genetik Faktörler: Aileden miras kalan çene yapısı veya diş boyutu, dişlerin düzgün sıralanmasını engelleyebilir.
  • Erken Süt Dişi Kaybı: Vaktinden önce kaybedilen süt dişleri, kalıcı dişlerin yanlış pozisyonda çıkmasına neden olabilir.
  • Kötü Alışkanlıklar: Çocukluk döneminde uzun süreli emzik kullanımı, parmak emme veya dil itme gibi alışkanlıklar çene gelişimini olumsuz etkiler.
  • Diş Eksiklikleri veya Fazlalıkları: Çenedeki diş sayısının normalden az ya da çok olması, mevcut dişlerin kaymasına ve çapraşıklığa yol açar.

Çapraşık Dişler Neden Düzeltilmelidir?

Çapraşık dişleri düzeltmek, sadece estetik bir gülüşe sahip olmaktan çok daha fazlasını ifade eder. Bu, aynı zamanda genel ağız ve diş sağlığınıza yapacağınız önemli bir yatırımdır.

Estetik Kaygılar ve Özgüven

Düzgün sıralanmış dişler, çekici bir gülümsemenin anahtarıdır. Çapraşıklık nedeniyle gülüşünü saklayan kişiler, sosyal hayatta kendilerini daha rahatsız hissedebilirler. Ortodontik tedavi ile kazanılan estetik gülüş, kişinin özgüvenini doğrudan artırır.

Ağız ve Diş Sağlığı

İşin sağlık boyutu çoğu zaman göz ardı edilir ancak oldukça kritiktir. Çapraşık dişler;

  • Temizlenmesi zor olduğu için diş çürükleri ve diş eti hastalıkları riskini artırır.
  • Çiğneme fonksiyonunu bozarak çene ekleminde (temporomandibular eklem) ağrı ve sorunlara yol açabilir.
  • Düzgün kapanmayan dişler, zamanla dişlerde aşınmaya neden olabilir.

Modern Ortodontik Tedavi Yöntemleri Nelerdir?

Teknoloji, diş hekimliğinde de devrim yarattı. Artık "diş teli" denince akla sadece metal braketler gelmiyor. Her ihtiyaca ve yaşam tarzına uygun, konforlu ve estetik çözümler mevcut.

Metal Braketler (Geleneksel Diş Teli)

En bilinen ve en dayanıklı yöntemdir. Paslanmaz çelikten yapılan braketlerin dişlere yapıştırılmasıyla uygulanır. Özellikle karmaşık ve zorlu vakalarda yüksek başarı oranı sunar. Günümüzde kullanılan metal braketler eskiye göre çok daha küçük ve konforludur.

Seramik (Porselen) Braketler

Metal braketlerle aynı prensipte çalışır ancak diş renginde oldukları için çok daha az fark edilirler. Estetik kaygıları olan yetişkin hastalar tarafından sıklıkla tercih edilir. Metal braketlere göre estetik bir alternatif arayanlar için idealdir.

Lingual Braketler (Görünmez Diş Teli)

Bu teknikte braketler, dişlerin ön yüzeyine değil, dil tarafındaki iç yüzeyine yapıştırılır. Bu sayede tedavi gördüğünüz dışarıdan kesinlikle belli olmaz. Tamamen kişiye özel olarak üretilirler ve estetiğe önem verenler için mükemmel bir seçenektir.

Şeffaf Plaklar (Invisalign)

Ortodontik tedavide devrim olarak kabul edilen yöntemdir. Braket ve tel kullanılmaz. Bunun yerine, kişiye özel üretilmiş, neredeyse görünmez, takılıp çıkarılabilen bir dizi şeffaf plak kullanılır. Invisalign, estetik, konfor ve hijyen avantajları sayesinde günümüzün en popüler tedavi yöntemlerinden biridir.


Tedavi Süreci Nasıl İşler?

Hangi yöntemi seçerseniz seçin, ortodontik tedavi süreci genellikle benzer adımları izler. Bu süreci bilmek, tedaviye daha hazırlıklı başlamanızı sağlar.

  1. İlk Muayene ve Planlama: Ortodontistiniz ağız içi ve dışı fotoğraflarınızı çeker, röntgenlerinizi inceler ve size özel bir tedavi planı oluşturur.
  2. Tedavi Başlangıcı: Seçilen yönteme göre braketleriniz takılır veya şeffaf plaklarınız size teslim edilir.
  3. Aylık Kontroller: Tedavinin ilerleyişini kontrol etmek ve gerekli ayarlamaları yapmak için düzenli olarak (genellikle 4-6 haftada bir) doktorunuzu ziyaret edersiniz.
  4. Tedavi Sonu ve Pekiştirme: Dişleriniz istenen pozisyona geldiğinde, tedavinin aktif feyzı biter. Ancak elde edilen sonucu korumak için bir süre pekiştirme apareyleri (retainer) kullanmanız gerekir.

Sıkça Sorulan Sorular

1. Diş teli tedavisi acıtır mı?

Tedavinin başlangıcında ve her ayarlamadan sonraki birkaç gün hafif bir hassasiyet veya baskı hissi normaldir. Bu durum genellikle ağrı kesicilerle kolayca kontrol altına alınır ve kısa sürede geçer. Acı verici bir süreç değildir.

2. Çapraşık dişler tel takmadan düzelir mi?

Evet. Özellikle uygun vakalarda, Invisalign gibi şeffaf plak sistemleri, diş teli olmadan çapraşıklığı düzeltmek için son derece etkili ve estetik bir yöntemdir. Doktorunuz, sizin için uygun olup olmadığına muayene sonrası karar verecektir.

3. Ortodontik tedavi ne kadar sürer?

Tedavi süresi, çapraşıklığın derecesine, seçilen tedavi yöntemine ve hastanın yaşına bağlı olarak değişir. Basit vakalar 6-8 ayda tamamlanabilirken, daha karmaşık durumlar 1.5 - 2 yıl veya daha uzun sürebilir.

4. Yetişkinler için diş teli tedavisi uygun mudur?

Kesinlikle evet! Ortodontik tedavi için herhangi bir yaş sınırı yoktur. Sağlıklı diş ve diş etlerine sahip olan her yetişkin, estetik ve fonksiyonel bir gülüşe kavuşmak için tedavi görebilir.


Moon Smile Clinic ile Hayalinizdeki Gülüşe Kavuşun

Çapraşık dişler kaderiniz değil. Modern ortodontik çözümlerle hayalinizdeki sağlıklı ve estetik gülüşe kavuşmak artık mümkün. Bu yolculukta size en uygun tedavi yöntemini belirlemek, süreci konforlu bir şekilde yönetmek ve mükemmel sonuçlar elde etmek için uzman bir ekibe güvenmek en doğrusudur.

Kliniğimizin kurucusu Dr. Ece Zorlu ve uzman ekibimiz, en güncel teknolojileri kullanarak size özel tedavi planları oluşturmaktadır. Karmaşık süreçleri düşünmenize gerek yok, biz her adımda yanınızdayız.

Mükemmel gülüşünüze ilk adımı atmak için hemen bizimle iletişime geçin ve ücretsiz bir danışmanlık randevusu alın.


WhatsApp'tan Bize Ulaşın

Contact Moon Smile Clinic

Contact Form

Please enter your name!
Please provide a valid email address!
Please enter your message!